Dentists Journal

Top Ten Stories of the Week
8/28/2021

All Dentists Journal · Previous Week · This Week · All Time List · Headlines

Share

What is a Cricopharyngeal Spasm?

A cricopharyngeal spasm is a type of muscle spasm that occurs in your throat. Also called the upper esophageal sphincter (UES), the cricopharyngeal muscle is located at the top part of the esophagus. As part of your digestive system, the esophagus helps digest food and prevent acids from creeping up from the stomach.

It’s normal for your cricopharyngeal muscle to contract. In fact, this is what helps the esophagus moderate food and liquid intake. A spasm occurs with this type of muscle when it contracts too much. This is known as a hypercontraction state. While you can still swallow drinks and food, the spasms can make your throat feel uncomfortable.

Symptoms

With cricopharyngeal spasm, you will still be able to eat and drink. Discomfort tends to be highest in between beverages and meals.

Symptoms can include:

choking sensations

feeling like something is tightening around your throat

sensation of a large object being stuck in your throat

a lump that you can’t swallow or spit out

The symptoms of UES spasms disappear when you’re eating foods or liquids. This is because the related muscles are relaxed to help you eat and drink.

Also, symptoms of cricopharyngeal spasm tend to get worse throughout the day. Anxiety about the condition can aggravate your symptoms, too.

Causes

Cricopharyngeal spasms occur within cricoid cartilage in your throat. This area is located right at the top of the esophagus and at the bottom of the pharynx. The UES is responsible for preventing anything, like air, from reaching the esophagus in between drinks and meals. For this reason, the UES is constantly contracting to prevent air flow and stomach acids from reaching the esophagus.

Sometimes this natural protective measure can get off balance, and the UES can contract more than it’s supposed to. This results in notable spasms.

Treatment options

These types of spasms may be alleviated with simple home remedies. Changes to your eating habits are perhaps the most promising solution. By eating and drinking small amounts throughout the day, your UES may be in a more relaxed state for longer. This is compared with eating a couple of large meals throughout the day. Drinking an occasional glass of warm water may have similar effects.

Stress over UES spasms can increase your symptoms, so it’s important to relax if you can. Breathing techniques, guided meditation, and other relaxing activities may help.

For persistent spasms, your doctor may prescribe diazepam (Valium) or another type of muscle relaxant. Valium is used to treat anxiety, but it may also be helpful in calming stress related to throat spasms when taken temporarily. It’s also used to treat tremors and musculoskeletal injuries. Xanax, an anti-anxiety drug, may also alleviate symptoms.

In addition to home remedies and medications, your doctor may refer you to a physical therapist. They can help you learn neck exercises to relax hypercontractions.

According to Laryngopedia, the symptoms of cricopharyngeal spasm tend to resolve on their own after around three weeks. In some cases, symptoms can last longer. You may need to see your doctor to rule out other possible causes of throat spasm to make sure you don’t have a more serious condition.

Complications and associated conditions

Complications from esophageal spasms are rare, according to the Cleveland Clinic. If you experience other symptoms, such as swallowing difficulties or chest pain, you might have an associated condition. Possibilities include:

dysphagia (difficulty swallowing)

heartburn

gastroesophageal reflux disease (GERD), or esophageal damage (stricture) caused by persistent heartburn

other types of esophageal strictures caused by swelling, such as noncancerous growths

neurological disorders, such as Parkinson’s disease

brain damage from related injuries or stroke

To rule out these conditions, your doctor may order one or more types of esophageal tests:

Motility tests. These tests measure the overall strength and movement of your muscles.

Endoscopy. A small light and camera are placed in your esophagus so your doctor can have a better look at the area.

Manometry. This is the measurement of esophageal pressure waves.

Outlook

Overall, a cricopharyngeal spasm isn’t a significant medical concern. It can cause some throat discomfort during periods when your esophagus is in a relaxed state, such as between meals. However, persistent discomfort from these spasms may need to be addressed by a doctor.

If the discomfort persists even while drinking and eating, the symptoms are likely to be related to another cause. You should see your doctor for a proper diagnosis.

(08/21/2021)
by Healthline

More Information: https://www.healthline.com/health/cricopharyngeal-spasm


Views: 1,066
Share
Share

What is a bifid uvula?

A bifid uvula is an abnormal split or division in the uvula, or tissue that hangs down at the end of the soft palate in the roof of the mouth. A bifid uvula is usually identified at birth when a doctor looks at the inside of a baby’s mouth to check the uvula.

In some cases, it is discovered before birth on an ultrasound. At other times, it can take a little longer or be an incidental finding not associated with any health problems.

However, sometimes a bifid uvula is an indication of a submucous cleft palate. This is when there is a cleft or split in the palate under the thin membrane of tissue that covers the roof of the mouth.

Because it is covered by the mucosal layer, it can be difficult to see the cleft. Also, it may involve just the soft palate or extend to the hard palate.

A submucous cleft palate can occur without a bifid uvula. This form has less muscular tissue than the palate of someone who does not have the condition. It can also lead to some medical problems.

Genetic, environmental, and toxic factors may be possible causes for a child being born with a bifid uvula. However, the definitive cause is unknown.

If it is genetic, then the likelihood of a child having it will depend upon the number of people affected in a family, and how closely they are related to the child.

Bifid uvula occurs between the 7th and 12th week of pregnancy because of an error in the fusion of the uvula.

For environmental and toxic causes, some risk factors have been identified as increasing the chance of having a baby with a cleft palate.

The following examples might contribute to the likelihood, though this is unclear:

smoking during pregnancy

diabetes

substance abuse

certain medications, such as those for epilepsy

poor prenatal healthcare

other health problems.

There are no medical complications with a bifid uvula if it is an isolated condition.

However, it is important to eliminate the association with a submucous cleft, as that can have clinical repercussions.

To further diagnose this, a doctor may conduct nasopharyngoscopy. This procedure is when a small tube is placed in the nose to look at the palate.

Speech problems

A submucous cleft can lead to speech problems with a child often having abnormal nasal speech. In these cases, a submucous cleft palate may not be diagnosed until the child starts talking.

Swallowing difficulties

Another complication of submucous cleft palate is problems with swallowing. Again, this is caused by the lack of muscular tissue, and the baby may have trouble feeding or regularly regurgitate.

It may be apparent shortly after birth that a child has a submucous cleft if they have a weak suck, are taking a long time to feed, or milk comes out of their nose as they feed.

Usually, there are no problems with breathing caused by a bifid uvula, and, in many cases, the infant can show no obvious complications.

A bifid uvula is benign, and therefore its mere presence does not necessitate treatment.

However, it is essential that a child born with a bifid uvula is examined for a possible submucous cleft palate. If present, the cleft palate is monitored closely and any treatment needed is coordinated in future years.

Submucous cleft palate may or may not require surgery, depending on the degree of symptoms.

Takeaway

For most people, having a bifid uvula causes no complications, and they can lead a normal and healthful life.

For others who have a submucous cleft, it can cause problems ranging from speaking and eating to being able to hear.

The important thing is that it is diagnosed and assessed as early as possible to avoid permanent problems and so that appropriate treatment can start.

(08/24/2021)
by Medical News Today

More Information: https://www.medicalnewstoday.com/articles/320886


Views: 796
Share
Share

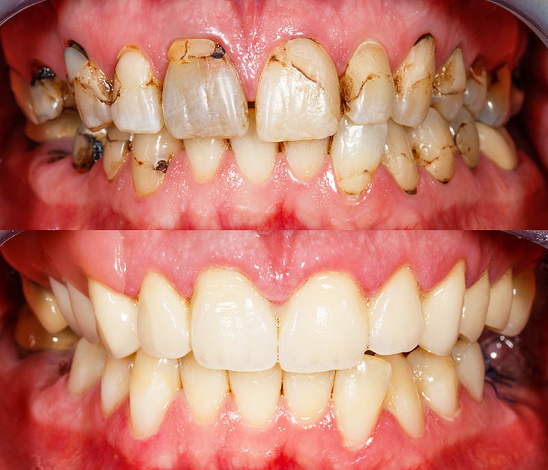
What Happens During a Full Mouth Reconstruction?

Has your general dentist told you that you need a full mouth reconstruction to restore your teeth and smile? This is an important procedure for your health and the aesthetics of your teeth. You will likely go into your procedure with some questions and concerns. It is helpful to understand what will take place at the dentist’s office and what the results will look like. You can rest at ease knowing that there are many benefits to repairing damaged teeth and replacing missing ones.

Issues that lead to the need for full mouth reconstruction

Everyone should have a goal of maintaining healthy, strong teeth, and gums. Unfortunately, some people neglect these duties or do not attend to them effectively. People who experience tooth loss or damage can often trace these issues back to brushing and flossing. Failing to do these things each day can lead to decay and infections. These conditions can weaken teeth, causing cavities, fractures, and cracks. A tooth could even fall out or require extraction.

Accidents and injuries can also break or chip a tooth. A hard enough blow to the face or biting into an object can even dislodge a tooth. Tooth loss and damage can occur in a car collision. These issues can also happen while an individual is playing sports.

Preparation

Before starting full mouth reconstruction procedures, the patient will meet with the general dentist. The dentist will explain the upcoming process and outline how it will affect the patient’s smile and health. The person should ask any questions they have. This is also a good time to address concerns and ask about any potential side effects the procedure may have.

After the consultation, the dentist will do some preparatory work. This will include taking X-rays and making impressions of the mouth. This information will be important in making devices, such as crowns, veneers, bridges, implants, or dentures. Before a dentist can start treating the patient’s condition, tooth extraction may be necessary.

Making the patient comfortable

A full mouth reconstruction procedure will require numbing the mouth. The dentist will do this so the patient will not feel pain during the process. This happens with a local anesthetic that should wear off a few hours after the appointment. Some dental offices offer sedation or other methods to calm the patient.

Preparing the tooth

Some full mouth reconstruction procedures require work on the tooth before the dentist places the device. For crowns, the dentist must first reshape the tooth by shaving part of it off. This helps ensure that the cap will fit. For veneers, the dentist first removes a bit of enamel and roughens the tooth so the veneer will bond to it. If the patient is getting bridges, the dentist will first place crowns over the teeth adjacent to the gap in the mouth.

Prepare for your appointment

You do not need to feel overwhelmed for your full mouth reconstruction. These processes are involved but can have successful outcomes. Review these guidelines so you can feel ready when you visit the dentist. Start by talking to the dentist about whether a restoration makes sense for you.

(08/20/2021)
by Phoenix Family Dentistry

More Information: https://familydentistphoenix.com/blog/what-happens-during-a-full-mouth-reconstruction/


Views: 750
Share
Share

Mouth Rash: Treatment And Prevention

Do you have a rash around your mouth, and you're wondering what it's from? First off, it's a great question. Why? Because when it comes to mouth rash, prevention is the key. It's important to know what's causing your mouth rash so that you can stay clear of any triggers. As you read on, we'll go into the signs, symptoms, and causes associated with mouth rash in adults, as well as how to treat and prevent it. That way, you can stay comfortable, healthy, and rash free.

Mouth Rash: Signs and Symptoms

A rash around the mouth is known as perioral dermatitis. The truth is the type of rash you have, and its symptoms depend heavily on the cause. Here are some typical ways mouth rash presents:

Pus-filled bumps that look like acne as a result of clogged, irritated pores

Dry, scaly skin

Redness from using certain irritating products

Hot or itchy skin may also be present. Whatever you do, try not to scratch your rash. It might irritate it more.

Generally, most mouth rashes won't spread unless they're a symptom of something more complicated. For example, some sexually transmitted diseases can cause a rash in and around the mouth, like herpes, which often causes cold sores and lesions around the mouth and a general sense of fatigue and fever.

If your mouth rash comes along with other symptoms, such as fever, fatigue, and lesions or rashes in other areas of the body, contact your doctor or dentist right away. It's important to rule out any more serious concerns.

What Causes Mouth Rash? Many different things can!

Your skin's surface can be sensitive to changes in any topical products you use, so always look into that as a cause first. If you haven't applied anything new to your face recently, here are some of the most common other causes to look out for:

Fluoridated toothpaste

Topical steroids, like hydrocortisone, applied either on purpose or by accident around the mouth

Drooling

Cosmetics, sunscreen, or other skincare products

Rosacea

Hormonal changes, like if you're pregnant or taking oral contraceptives

Not washing your face regularly

An infection

The good news? In most cases, perioral dermatitis can be dealt with quickly if you can figure out what's causing the rash. In some cases, it may require a bit of trial and error. But you've got this!

Treatment and Prevention of Mouth Rash

According to the American Osteopathic College of Dermatology, the first step in treatment for your mouth rash is to stop applying any products that may cause irritation. This includes topical steroids, as well as creams or fluoridated toothpaste. Your doctor might also suggest a topical or oral antibiotic to help combat any infection that could be causing red, scaly patches around your mouth.

When you have a rash, it's also recommended to clean your face with warm water instead of scented soap until the rash clears. After it heals, you can start using a mild scent-free soap or soap alternative. Ask your dermatologist if you need suggestions. Also, practice good skin hygiene and wash your pillowcases frequently.

So if you have a mouth rash, you know what to do now. And you know what triggers to look out for, so you can figure out what's causing it. The first step in preventing and healing your rash is to stop using products that might be irritating you. This includes topical steroids, creams, and fluoridated toothpaste. Also, use warm water and mild soap to clean your face until the rash goes away. Remember that if any other symptoms present, make sure to contact your doctor or dentist right away. With all of this info, you're bound to heal your rash in no time! So go ahead, and take steps today for a rash-free tomorrow.

(08/25/2021)
by Colgate

More Information: https://www.colgate.com/en-us/oral-health/mouth-sores-and-infections/mouth-rash-treatment-and-prevention


Views: 734
Share
Share

Cold Sores Due to Sun Exposure, Why It Happens and Staying Safe

Most of us like to spend time soaking up the sun. During the summer, or while we’re on vacation, it can be hard to resist those warming rays that make us feel so good. Unfortunately, if you have the herpes simplex virus (HSV-1) in your system, you can get cold sores due to sun exposure.

Cold sores are ‘triggered’ by different events/factors. The virus lies dormant in a nerve in your system until something causes a flare-up. This could be due to hot and cold weather, stress, sickness, hormones, and dental work, to name but a few. They are all events that weaken the body’s immune system so that it’s less able to protect itself from HSV-1.

Direct sunlight may give the skin a ‘healthy’ bronzed look, but UV rays weaken the skin. This is the likely the reason why people get cold sores after sun exposure, sunburns, and using a sunbed. They may appear on the lips, nose, cheeks, and near the eyes, depending on where you’re normally affected, and where your skin has been compromised by sun damage.

In this article, we’re going to look at the reasons why people are prone to cold sores in the summertime. You’ll also find out how cold sores can be removed overnight, as well as some methods that could keep you safe.

Are Cold Sores Caused by Sun Exposure?

Cold sores are not ’caused’ by exposure to the sun. They are caused by the HSV-1 virus, sometimes known as facial herpes. This is a virus that can be contracted at any point in your life, even babies and children. The only good news about HSV-1 is that it’s usually in a dormant state.

The conditions that we’ve touched on above make it easy for the virus to emerge. When our immune systems are compromised, the virus can penetrate through the skin, resulting in the appearance of ugly fever blisters.

7 Reasons Why Cold Sores Occur During the Summer

Sun-damaged skin. The skin’s ability to protect itself has been compromised by exposure to harmful UV rays.

Chapped lips. When your lips become dried out, they may crack open. This allows the virus to emerge because you have sunburned lips.

Fatigue. We may assume that a vacation is a period of relaxation, but it can also be tiring. Long flights, preparation, active days, etc. leave us weakened. That’s why you’re more vulnerable to cold sores from exposure to sunlight.

Less sleep. Hot temperatures may mean that we don’t get a good night’s sleep, leaving us feeling physically exhausted.

Colds and viruses. Getting a cold isn’t just something that happens during the winter. If you get a summer cold, you’re also weakened and more vulnerable to infection.

Oily skin. If your skin has become greasy due to the application of sun lotions, this could block up the pores of the skin.

Acidic foods. Perhaps you’ve eaten more foods that are high in acids, such as oranges and pineapples. Pay close attention to your diet.

Unfortunately, you cannot get rid of the HSV-1 virus once it’s inside you. Until there’s a complete cure for the herpes virus, that will remain. But, there are ways to treat cold sores. If you have flare-ups due to sun exposure, protecting yourself is a great place to start.

Protecting yourself from the sun is important. The sun’s UV rays provide vitamin D, which is a good thing. We need some Vitamin D to stay healthy. A deficiency can cause us to become lethargic, or even sick, but it’s all about striking the right balance. You can have ‘too much of a good thing’ when it comes to sun exposure.

While UV rays can provide us with essential vitamins, they can also be harmful. You likely wouldn’t go out to the beach on a sunny day without covering your body with a sunscreen lotion. Your protection plan should be no different when it comes to your lips, mouth, cheeks, and nose. Our skin tends to be much more sensitive in those areas, making it even more important to protect the skin from the sun’s rays.

To protect yourself from UV radiation, be conscious of how much time you’re spending in the sun. Additionally, you should always apply a lip balm that contains sunscreen. This will protect you from UV rays and keep your lips moisturized, so they don’t split open.

Look for a lip balm that contains an SPF of at least 30 (preferably stronger) to help protect you from UVA and UVB rays. Your lips are constantly exposed to the sun. Even on cloudy days, the sun’s rays can do more damage than we might realize. So, if you have to be outside, and you’re prone to flare ups after spending time in the sun, protect yourself properly.

By avoiding most forms of direct sunlight, or protecting your lips with a high-SPF balm, you should be able to avoid this cold sore trigger. If you know that you’re prone to cold sore flare-ups after exposure to sunlight, use these preventative tips to lower your risk of infection.

(08/20/2021)
by Cold Sores Cured

More Information: https://www.coldsorescured.com/cold-sores-due-sun-exposure/


Views: 709
Share
Share

What Causes Tongue Cramps and How to Stop Them

A cramp or spasm happens when a muscle contracts involuntarily. It’s a very common sensation that many of us experience from time to time. Because there are several muscles that control the movements of your tongue, it’s possible to experience a tongue cramp as well. Many times, tongue cramping is an isolated incident. However, if it happens frequently, it may be a sign of another underlying health condition.

Symptoms of tongue cramps

If you have a tongue cramp, you may experience the following types of symptoms: pain, a feeling of tightness, muscle tremors, trouble with tasks such as speaking and eating.

Tongue cramp causes

Sometimes, the cause of tongue cramping is unknown (idiopathic). However, there are also some health conditions that may cause tongue cramping as well.

Muscle cramps

The most common area for muscle cramps to occur is in the legs, but cramps can impact any part of the body that you can move voluntarily. This includes your tongue.

Some factors that can contribute to muscle cramps include: dehydration, low levels of some electrolytes, such as potassium, magnesium, and calcium.

Dystonia

Dystonia is a condition that causes involuntary muscle spasms to occur. This is believed to be due to altered signaling from your brain to muscle tissue. Spasms caused by dystonia can be painful.

Oromandibular dystonia is dystonia that impacts the jaw, mouth, or tongue. When dystonia specifically affects the tongue, it’s called lingual dystonia. Spasms from lingual dystonia can pull your tongue into different positions.

The exact causes of lingual dystonia aren’t well understood. It’s possible that genetic factors may play a role in some people. Other causes may include: head injury, stroke, certain medications, such as antipsychotics or drugs that treat vomiting (antiemetics), infections, Wilson’s disease, a rare genetic condition.

Tetanus

Tetanus is a disease caused by a species of bacteria called Clostridium tetani. You get tetanus when C. tetani enters your body, typically through a wound, and begins to grow.

The bacteria produce toxins that impact the central nervous system, causing painful muscle spasms and rigidity. This can also affect the tongue.

Motor neuron diseases

Motor neurons are nerve cells that control the voluntary movements of your muscles. A motor neuron disease (MND) impacts signaling to these muscles, affecting your ability to do tasks like walking, speaking, and swallowing.

MNDs are progressive. This means that they gradually get worse over time. Some are inherited, but many times the causes of MNDs are unknown.

Amyotrophic lateral sclerosis (ALS) is one of the more common types of MND. Early signs of bulbar ALS include alterations in tongue movement involved in speech and swallowing abilities.

People with an MND can experience muscle cramps or spasms, which can cause pain or discomfort. These may potentially impact the tongue.

How to stop tongue cramps

In many cases, a cramp will last for a few seconds to minutes. During a tongue cramp, you can do a couple of things to help ease your symptoms:

Stop what you’re doing. If a specific activity, such as eating or talking, triggered a tongue cramp, stop until the cramp passes.

Stretch out your tongue. Stretching out your tongue may help to ease cramping in some, but not all, cases.

Tongue cramps due to underlying conditions

Tongue cramps due to an underlying condition are often managed with medications or therapy.

Lingual dystonia

Lingual dystonia may be managed using:

medications like clonazepam (Klonopin), baclofen (Lioresal), and trihexyphenidyl

botulinum toxin (Botox) injections

therapy to help cope with difficulties in speech, swallowing, or chewing

sensory tricks when symptoms appear, such as chewing gum or touching your jaw.

When you have a tongue cramp or spasm, you may experience symptoms like pain, tightness, and difficulty with talking or eating. Many times, these symptoms only last for a few seconds or minutes.

Tongue cramps may occur occasionally without an identifiable reason. Other times they can happen due to health conditions like dystonia, tetanus, or MNDs.

In some cases, you can ease tongue cramps by stopping what you’re doing and stretching out your tongue. However, tongue cramps or spasms that are caused by an underlying condition often need additional treatment.

See a doctor if you have tongue cramps that happen frequently, last a long time, or occur with severe pain. They can work to help you figure out what may be causing them.

(08/22/2021)
by Healthline

More Information: https://www.healthline.com/health/tongue-cramp


Views: 711
Share
Share

Dental Issues Caused by Stress

You already know stress can trigger headaches and stomach aches. What you may not realize is how stress affects your teeth, gums, and overall oral health as well. Dentists, in fact, noticed a dramatic increase in stress-related dental issues when their offices opened after the first round of COVID-19 lockdowns.

Find out how stress affects your teeth, gums and jaw, and learn how to identify, manage and prevent dental issues caused by stress.

Tooth fractures.

Virtually all teeth have tiny little fissures and cracks due to everyday wear-and-tear. By themselves, these small cracks are no problem. But when we’re stressed, we tend to clench our jaws and unconsciously grind our teeth, often in our sleep. That excess pressure on those tiny fissures can cause teeth to break and fracture.

Your teeth should not touch when you’re at rest. If they do, talk to your dentist, who may prescribe a retainer or night guard.

Teeth grinding (bruxism).

Teeth grinding is a common condition that affects both children and adults. According to Cedars-Sinai Medical Center, about one-third of adults grind their teeth during the daytime; approximately 10% grind their teeth at night during sleep.

Teeth grinding wears down the surface of the teeth over time; the tips of the teeth may appear flattened. Long before that, though, teeth grinders may experience headaches, pain, earaches and jaw stiffness. If you’re experiencing any of these symptoms on a regular basis, consult a dentist.

Sensitive teeth.

Teeth grinding and jaw clenching can harm the enamel, or protective outer coating, of the teeth. Tooth enamel is the hardest tissue in the human body, but it’s thin and can wear away over time. Erosion of tooth enamel can cause extreme sensitivity to hot, cold, sweet or sour foods.

Your body can’t regenerate tooth enamel, so if you’re experiencing increased tooth sensitivity, it’s a good idea to see a dentist, who can help you figure out how to prevent more enamel loss and how to strengthen your remaining enamel.

Oral pain.

Tooth, gum or mouth pain can be caused by stress—and more stress may equal more pain. A 2016 study published in BMC Oral Health found that people who reported high stress levels had greater oral pain than those with less stress.

At times, the source of the pain may be obvious. But other times, the discomfort appears before you can spot an issue that might trigger pain. Consider seeing a dentist rather than living with the pain. A dentist can evaluate your overall oral health and identify (and treat) potential problems before they become big problems.

Temporomandibular disorder.

The temporomandibular joint (TMJ) is the joint that connects your jawbone to your skull. It’s involved in opening and closing your mouth and moving your lower jaw side to side, forward and back. Pain or dysfunction affecting this joint is called temporomandibular disorder (TMD). Symptoms of TMD include pain, difficulty opening or moving the jaw, clicking sounds with movement, and muscle fatigue or headache.

Stress appears to aggravate TMD. Research has found that some of the habits we use to release stress, such as chewing gum or leaning the chin on the hands, may contribute to TMJ dysfunction.

Canker sores.

Canker sores are little ulcerations on the inside of your mouth or on your gums. They’re not serious or harmful, but they can be quite uncomfortable and make eating a bit of a challenge. No one knows exactly what causes canker sores, but researchers have linked them to stress. At least one study has noted that students are much less likely to experience canker sores during school breaks, when stress levels are lower.

Most canker sores will go away in about a week without any treatment. However, if you’re experiencing frequent canker sores, consult a dentist.

Gum disease.

The most common cause of gum disease is poor oral hygiene. And researchers suspect that’s one reason why stress may cause gum disease: Stressed-out people are more likely to neglect oral hygiene, to smoke, and to eat and drink sugary or acidic foods that promote gum disease. Some research also suggests stress hormones promote the growth of bacteria known to contribute to the development of gum disease.

Easing your stress may improve your dental health. Stress management techniques like yoga, meditation, and deep breathing are good for your mind—and for your gums and teeth as well.

(08/22/2021)
by Jennifer L.W. Fink, RN, BSN

More Information: https://www.healthgrades.com/right-care/oral-health/7-dental-issues-caused-by-stress


Views: 788
Share
Share

What Does an Oral Staph Infection Look Like, and How Do I Treat It?

A staph infection is a bacterial infection caused by Staphylococcus bacteria. Often, these infections are caused by a species of staph called Staphylococcus aureus.

In many cases, a staph infection can be easily treated. But if it spreads to the blood or deeper tissues of the body, it can become life-threatening. Additionally, some strains of staph have become more resistant to antibiotics.

Although rare, it’s possible to have a staph infection in your mouth. Read on below as we explore the symptoms, causes, and treatment of an oral staph infection.

Symptoms of a staph infection in your mouth

The general symptoms of an oral staph infection can include:

redness or swelling inside the mouth

painful or burning sensation in the mouth

inflammation at one or both corners of the mouth (angular cheilitis)

S. aureus bacteria have also been found in 0.7 to 15 percentTrusted Source of dental abscesses. A dental abscess is a pocket of pus that develops around a tooth due to a bacterial infection. Symptoms can include:

pain, redness, and swelling around the affected tooth

sensitivity to temperature or pressure

fever

swelling in your cheeks or face

bad taste or bad smell in your mouth.

Causes of a staph infection in your mouth

Staphylococcus bacteria cause staph infections. These bacteria commonly colonize the skin and nose. In fact, according to the CDC, about 30 percentTrusted Source of people carry staph bacteria inside their nose.

Staph bacteria are also capable of colonizing the mouth. One study found that 94 percent of healthy adults carried some form of Staphylococcus bacteria in their mouth and 24 percent carried S. aureus.

Another studyTrusted Source of 5,005 oral specimens from a diagnostic laboratory found that more than 1,000 of them were positive for S. aureus. This means the mouth could be a more significant reservoir for staph bacteria than previously believed.

Treating a staph infection in your mouth

If you have pain, swelling, or redness in your mouth that worries you, see a doctor. They can help to find out what may be causing your symptoms and determine an appropriate course of treatment.

Many staph infections respond well to antibiotic treatment. If you’re prescribed oral antibiotics, be sure to take them as directed and finish the entire course to prevent a recurrence of your infection.

Some types of staph are resistant to many types of antibiotics. In these cases, you may need stronger antibiotics, some of which may need to be given via IV.

A doctor may perform antibiotic susceptibility testing on a sample from your infection. This can help to better inform them on which types of antibiotics may be most effective.

In some cases, treatment with antibiotics may not be necessary. For example, if you have an abscess, the doctor may choose to make an incision and drain it.

At home, you can take over-the-counter pain medication to help with inflammation and pain, and rinse your mouth with warm salt water.

Complications

In cases where your infection is very severe or has spread, you’ll likely need to be hospitalized. This way, care staff can monitor your treatment and recovery more carefully.

While you are hospitalized, you’ll likely receive fluids and medications by IV. Some infections, such as Ludwig’s angina, may require surgical drainage.

Preventing staph infections

There are a few ways that you can help to prevent getting a staph infection in your mouth:

Keep your hands clean. Wash your hands frequently with soap and warm water. If this isn’t available, use an alcohol-based hand sanitizer.

Practice good oral hygiene. Taking care of your teeth and gums through brushing and flossing can help prevent things like dental abscesses.

Visit a dentist for regular teeth cleanings.

Don’t share personal items like toothbrushes and eating utensils.

Staph infections are caused by bacteria from the genus Staphylococcus. Although these types of infections are often associated with the skin, in some cases they can occur in the mouth.

Staph is an opportunistic pathogen and many people who have staph in their mouth won’t experience illness. However, some situations like an open wound, recent surgery, or underlying condition can increase your risk of becoming sick.

If you have oral symptoms of a staph infection, see a doctor immediately. It’s important that they evaluate your condition promptly and determine a treatment plan to prevent potential serious complications.

(08/25/2021)
by Healthline

More Information: https://www.healthline.com/health/staph-infection-in-mouth


Views: 1,322
Share
Share

What Is The Cingulum Of The Tooth?

If you look closely at the anatomy of your teeth, you can see that they are all shaped differently, with points, ridges and round or sharp edges. Some components of dental anatomy, such as the cingulum ridge on a tooth, can't be seen too well, but you can feel it with your tongue. Though its purpose is rather obscure, the cingulum can sometimes be affected by rare dental anomalies.

What Is a Cingulum?

According to MediLexicon, the cingulum of the tooth is a U-shaped ridge located on your upper central and lateral incisors and on the upper cuspids (also called canines) on the tongue-facing side of the tooth. This convex ridge runs vertically from the gumline to the central portion of the tooth. Sometimes, there's also a groove on the tooth that goes partially through the cingulum, according to Pocket Dentistry. If it isn't kept clean, this area can be at risk for decay.

Conditions Affecting the Cingulum of the Tooth

Like all other parts of teeth, the cingulum forms during tooth development. This means that certain conditions affecting the development of teeth can impact the shape of the cingulum.

Dens Invagination

When the enamel of a developing tooth folds inward before it has calcified, it results in what is called dens invagination. According to an article published in the Iranian Endodontic Journal, this is a rare anomaly affecting only 0.04% to 10% of people. It occurs most commonly in the upper permanent lateral incisors and central incisors. Sometimes, the invagination is merely a deep pit at the cingulum. But in more serious situations, the fold extends to the root of the tooth and either perforates the pulp or opens into the periodontal ligament, which is the connective tissue in the middle of a tooth. Treatment for dens invagination depends on the tooth and tissues involved. Endodontic therapy is often the solution, but if the tooth does not respond to this treatment, a dental professional might recommend extraction.

Talon Cusp

In very rare occasions, an extra cusp develops on the tongue-facing surface of a front tooth in the cingulum area. This anomaly is called a talon cusp because the extra cusp looks similar to an eagle talon. A study published in the Journal of Oral Diseases notes that the prevalence of talon cusps also falls between 0.04% to 10%. These extra cusps are made up of enamel, dentin and pulp tissue, and they most commonly affect the upper lateral incisors. A tooth with a talon cusp may have an odd appearance, but if it isn't interfering with the opposing tooth when biting, it usually won't cause any problems other than needing extra attention when brushing. However, if the talon cusp is causing issues, a dentist may grind the extra protrusion down or offer endodontic or prosthetic treatment.

Now that you know where your cingulum is located, it may be hard to keep your tongue from going there. But, if your dentist hasn't diagnosed you with dens invagination or a talon cusp, you can be confident that you have a healthy, normal cingulum.

(08/21/2021)
by Colgate

More Information: https://www.colgate.com/en-us/oral-health/mouth-and-teeth-anatomy/what-is-the-cingulum-of-the-tooth


Views: 2,157
Share
Share

What to Eat and Drink When You Have a Sore Throat

When you have a sore throat, the burning and uncomfortable feeling it causes can make it hard to drink or eat. What foods are good to eat and drink when you have a sore throat?

Keep reading to find out the best things to eat and drink when you have a sore throat and the things you might want to avoid.

What foods and drinks should you have?

Foods that are soft and very easy to swallow are usually safe to eat when you have a sore throat. The soft texture will help limit the amount of irritation to your throat. Warm foods and beverages can also help soothe your throat.

Some foods you may want to eat are:

warm, cooked pasta, including macaroni and cheese

warm oatmeal, cooked cereal, or grits

gelatin desserts

plain yogurts or yogurts with pureed fruits

cooked vegetables

fruit or vegetable smoothies

mashed potatoes

broth and cream-based soups

milk

nonacidic juices, such as grape or apple juice

scrambled or hard-boiled eggs

popsicles

Eating and drinking these items will allow you to stay nourished without irritating your already sore throat.

How to treat a sore throat

The first and most cost-effective way to relieve your sore throat is by gargling with warm water and salt. Pour about a tablespoon of salt into 8 ounces of warm water. Stir the salt around in the water. Then, take a few sips, tip your head back, and gargle. Make sure not to swallow. Instead, spit it out and repeat.

Some herbal remedies may help. Herbal throat spray, drops, or teas that contain licorice root or honeysuckle flower can provide some relief. Before using an herbal treatment, though, make sure you’re aware of any potential:

side effects

allergies

interactions with other medications

interactions with other herbal supplements

If you aren’t sure what you can safely take, ask your doctor. This is especially true if you’re pregnant or think you might be pregnant. Some herbal remedies aren’t safe to use during pregnancy.

You can also use over-the-counter methods. Throat lozenges that you can get in some grocery and drugstores not only take away the sting of a sore throat for a little bit, but many also have a pleasant taste.

Acetaminophen (Tylenol) is a mild pain reliever some people use for minor aches and pains. It can also help soothe a sore throat. Before taking acetaminophen, make sure to read the directions on the packaging and take the suggested amount that’s best for you.

If none of these methods provide you with any long or lasting relief and your sore throat continues, you may need to try prescription medication. Talk to your doctor if you’re unable to find relief.

When to see your doctor

If your sore throat doesn’t go away, see your doctor. Most sore throats occur due to viral infections, such as a cold or the flu, or bacterial infections, such as strep throat. If you have a bacterial infection, your doctor can prescribe an antibiotic. Antibiotics will not treat a sore throat that occurs due to a viral infection.

Sore throats can also occur due to environmental factors like seasonal allergies, inhaling cigarette smoke, or even dry air. People who snore can also experience sore throats.

See your doctor if your sore throat has become unbearable and you’re starting to feel worse or if you experience other symptoms like:

difficulty swallowing or breathing

a fever

a rash

swollen glands

unexplained pain or joint aches

You should also see your doctor if your sore throat lasts longer than a week. Your doctor can run tests to rule out anything needing further attention.

Outlook

Your sore throat will likely take a few days to go away, but you can get relief now by:

gargling with salt water

taking acetaminophen as recommended on the label

treating yourself to an ice popsicle

getting plenty of rest

drinking warm, herbal tea

staying hydrated

Sore throats usually go away within a week, but they’ll often only last a few days. You can usually treat your sore throat with home care. See your doctor if:

you suspect you have a bacterial infection

your sore throat isn’t getting better

your sore throat is getting worse.

(08/26/2021)
by Healthline

More Information: https://www.healthline.com/health/cold-flu/what-to-eat-when-you-have-a-sore-throat


Views: 771
Share