Dentists Journal

Top Ten Stories of the Week
4/3/2021

All Dentists Journal · Previous Week · This Week · All Time List · Headlines

Share

Tonsillitis and Strep Throat: What´s the difference?

You may have heard the terms tonsillitis and strep throat used interchangeably, but this is not accurate. You can have tonsillitis without having strep throat. Tonsillitis may be caused by group A Streptococcus bacteria, which is responsible for strep throat, but you could also get tonsillitis from other bacteria and viruses.

Keep reading to learn more about tonsillitis and strep throat.

Symptoms

Tonsillitis and strep throat have many similar symptoms. That’s because strep throat can be considered a type of tonsillitis. But people with strep throat will have additional, unique symptoms.

Causes

Tonsillitis can be caused by a variety of germs, including viruses and bacteria. It’s most commonly caused by viruses, however, such as: influenza, coronavirus, adenovirus, Epstein-Barr virus, herpes simplex virus, HIV.

Tonsillitis is only one symptom of these viruses. Your doctor will need to run tests and review all of your symptoms to determine which virus, if any, is the cause of your tonsillitis.

Tonsillitis can also be caused by bacteria. An estimated 15-30 percent of tonsillitis is caused by bacteria. The most common infectious bacteria are group A Streptococcus, which cause strep throat. Other species of strep bacteria may cause tonsillitis as well, including: Staphylococcus aureus (MRSA), Chlamydia pneumoniae (chlamydia), Neisseria gonorrhoeae (gonorrhea).

Strep throat is caused specifically by the group A Streptococcus bacteria. No other group of bacteria or virus causes it.

When should you see a doctor?

You may not need to see a doctor for tonsillitis or strep throat. In most cases, symptoms will resolve within a few days of home care, such as rest, drinking warm liquids, or sucking on throat lozenges.

You may need to see a doctor, however, if:

symptoms last longer than four days and show no signs of improvement or have gotten worse

you have severe symptoms, such as a fever over 102.6°F (39.2°C) or difficulty breathing or drinking

intense pain that won’t subside

you have had several cases of tonsillitis or strep throat in the past year.

Treatment

Most treatments will relieve your symptoms instead of actually treating your condition. For example, you can use anti-inflammatory medications to relive pain from fever and inflammation, such as acetaminophen (Tylenol) or ibuprofen (Advil and Motrin).

To relieve symptoms of sore throat, you can try these home remedies: rest, drink lots of water, drink warm liquids, such as broth, tea with honey and lemon, or warm soup, gargle with salty warm water, suck on hard candy or throat lozenges, increase humidity in your home or office by using a humidifier.

Tonsillitis and strep throat are both contagious, so avoid being around other people while you’re sick, if possible. With home remedies and lots of rest, your sore throat should clear up in a few days. See your doctor if your symptoms are extreme or persist for a long time.

(03/31/2021)
by Health Line

More Information: https://www.healthline.com/health/tonsillitis-vs-strep-throat


Views: 994
Share
Share

What Is Hypophosphatasia?

Many factors impact the health of your teeth. You can control some of these factors — like your oral care routine or diet — however, other factors like genetics reside outside of your control and may cause negative effects. Hypophosphatasia is a rare genetic disorder that can weaken bones and teeth. Learn more about the types of hypophosphatasia, its role in oral health, and how it's treated.

What Is Hypophosphatasia?

Hypophosphatasia (HPP) disrupts the process of mineralization of bones and teeth. This inherited disease is caused by a mutation in the tissue nonspecific alkaline phosphatase (TNSALP) gene. The mutation interferes with the metabolism of alkaline phosphate, which affects the mineralization process and impairs the body's ability to deposit calcium and phosphorous into developing bones and teeth. These minerals help make your bones and teeth rigid, strong, and able to withstand daily use.

What Are the Types of Hypophosphatasia?

HPP is classified by the degree of severity and timing of symptoms, and HPP affects males and females equally. The most severe form of HPP is life-threatening, while the least severe classification only causes dental abnormalities. Generally, the younger the person is when diagnosed, the more severe and problematic the condition. Here are the five types of hypophosphatasia and their symptoms:

Perinatal HPP. The physician will typically diagnose a child with perinatal HPP at birth or with an ultrasound before birth. It manifests as skeletal abnormalities that include deformed chest walls and long bones. On an X-ray, the bones will show signs of hypomineralization, also known as a decrease in mineral content. This type of HPP can be fatal, with a high incidence of stillbirth or death soon after birth.

Infantile HPP. The physician will diagnose a child with infantile HPP by the age of six months. Its main characteristics include rickets and fractures, which are detected by an X-ray. The lack of minerals combined with a defective metabolic process impacts the infant's ability to develop, and this type of HPP can be fatal.

Childhood HPP. The signs and symptoms of childhood HPP appear after six months of age. The physician usually diagnoses it when the child fails to develop and reach motor skill milestones. The most common symptom includes the early loss of baby teeth — including the root — before age five. This differs from normal tooth loss, where the teeth fall out gradually after the roots resorb from age five through the preteen years.

Adult HPP. The adult classification often presents early in life but remains undiagnosed until adulthood. Adult HPP can include unspecific musculoskeletal disorders, slow healing, and frequent fractures of the femur and the foot's metatarsal bones. It manifests as a softening of bones, and adults may lose teeth prematurely or suffer from chronic joint and muscle pain.

Odontohypophosphatasia. The final and least severe category of HPP only affects the teeth. Odontohypophosphatasia symptoms include abnormal tooth development and premature loss of permanent teeth.

How Do You Treat Hypophosphatasia?

Until recently, HPP treatment only included managing and alleviating symptoms caused by the disease. This varied from ventilator support for infants with respiratory insufficiency to low-calcium diets and pain relief techniques. Your physician might also recommend seeking genetic testing and counseling to establish the likelihood of passing the disorder to future generations.

In October 2015, the Food and Drug Administration approved asfotase alfa for use in the United States after clinical trials showed promising results in treating HPP presenting before the age of 18. Asfotase alfa (AA), also known by the brand name Strensiq, is administered through injections. Drug Design, Development and Therapy notes that AA treatment results in improved skeletal mineralization, leading to increased respiratory status and infant survival. It can also alleviate other complications related to bone abnormalities to improve physical function, mobility, and growth.

If you know the HPP gene runs in your family or notice early signs of this disease, seek the advice of a medical professional. Your physician or dental professional can help you determine the best way to alleviate symptoms and take care of your bones and teeth.

(03/28/2021)
by Colgate

More Information: https://www.colgate.com/en-us/oral-health/threats-to-dental-health/five-classifications-of-hypophosphatasia


Views: 972
Share
Share

What is proper tongue posture and its importance

Have you ever found yourself laying in bed, trying to get comfortable, and you randomly think, “where am I supposed to rest my tongue?” Surprisingly, this is a very real and very common thought many people have but may not share. If you’re one of those people, you’re in luck because your dentist in Sandwich has the answer. 

Tongue Posture / Tongue Positioning

Whether or not you’ve ever thought about where your tongue was supposed to rest in your mouth, it is a thing that your dentist may talk to you about. You may have heard this described as tongue posture or tongue positioning, both of which refer to how and where you rest your tongue naturally while at rest. Why does this matter? We’re glad you asked. 

Why Is Proper Tongue Posture Important?

Tongue posture may sound a little silly, but the truth is, positioning your tongue properly can help protect your overall health. The tongue is a strong muscle and can affect not only your teeth, but your sinuses, eyes, nose, head, neck, and shoulders. Those who don’t have proper tongue placement can suffer from: Sleep Apnea, TMJ Problems with Vision, Bad Body Posture, Tooth Damage.

How to Rest Your Tongue

There’s actually a right way and a wrong way to rest your tongue, and an estimated 50% of the population do it incorrectly. 

The Wrong Way – A common, yet wrong, way to hold your tongue in your mouth is to rest it on the bottom teeth or the at the bottom of the mouth. This can cause the tongue to put constant pressure on the teeth and make them shift, become crowded, or create a bad, sometimes painful, bite. 

The Right Way – Your dentist in Sandwich will recommend that you gently rest your tongue on the roof of your mouth and about a half an inch away from the back of your front teeth. At the same time, your lips should be closed, and your teeth held slightly apart to avoid placing unnecessary pressure on your teeth. Practicing proper tongue posture over time, and especially while we’re growing, can help expand the palate, leaving enough room for your teeth to develop properly without crowding.

Benefits of Proper Posture

We’ve already talked about how properly resting your tongue on the roof of your mouth can help teeth develop properly without overlapping, but there are other benefits to having good tongue posture, including: No neck, jaw, or head pain, Better breathing, Better sleep, Improved appearance.

Proper tongue posture can help people have a better overall posture and a natural appearance. Those who tend to rest tongues on the bottom of the mouth can accidentally create a longer, flatter face shape and a chin or forehead that juts forward. Go ahead, try it out. First, rest your tongue properly on the roof of your mouth then move the whole thing to the bottom of the mouth. You should feel a pretty obvious shift in your chin, neck, and head.  

(03/30/2021)
by Waters Dental Group

More Information: http://watersdentalgroup.com/2020/01/23/where-should-i-rest-my-tongue/


Views: 1,165
Share
Share

Should a dentist save Rotten Teeth?

Do you have a loose, diseased, or rotten tooth? Wondering if saving teeth is worth your while? These are your options if you prefer natural aesthetics.

Did you know that by the age of 50, most Americans have lost about 12 Teeth ? That's a lot of teeth to lose!

Dr. Seuss said, "Teeth are always in style". And he was right. Having a mouth full of pearly whites is both desirable and practical.

Brushing and flossing aren't always enough. You need to head to the dentist on a regular basis if you want to avoid problems.

But if you're experiencing pain, your teeth feel loose, or you have a rotten tooth, you may wonder: can I save my teeth? Or is it too late?

The good news is that there are several ways to save your teeth. So, are you ready? Brace yourselves, it's time to start saving teeth!

Can My Teeth Be Saved?

You may wonder: can I save my teeth? Or is removal the only way to stop the pain? With today's amazing advances in the medical field, extraction isn't the only option.

There are different treatments available, but it all depends on what the problem is. Read on to find out the different ways to save a loose tooth.

Fillings for a Rotten Tooth

Fillings are the first line of defense from rotting teeth. If you have a small amount of tooth decay, the dentist will clean the area and fill it. This will stop the decay from spreading.

Materials used for fillings may include gold, porcelain, resin or amalgams (mercury, silver, tin, copper or zinc). A composite resin is the same color as teeth which makes it a popular choice.

By closing off the cavity, you can restore your tooth back to its normal function.

Saving a Loose Tooth

You may have a loose tooth due to trauma in the mouth.

If your mouth has experienced light trauma, you should wait a couple of weeks before seeking dental treatment. This is because teeth can naturally tighten themselves up after minor trauma. If it doesn't fix itself, you'll need to go for an examination.

If your jaw has received major impact from something you should visit the dentist immediately. For example, a boxing match, car accident or something similar. They will do an assessment and check if there are any chips or cracks in your jaw and teeth.

Your dentist may prescribe antibiotics to reduce the chance of infection. They may also use a splint to secure the loose teeth. This method can use your strong teeth to support your wobbly teeth by using an adhesive resin.

But prevention is better than a cure.

Root Canal to Save My Teeth

The first line of defense is a filling, but if the tooth decay is serious you may need a root canal. But you can only do this if the root is still healthy. If not, there is no choice but to extract the rotten tooth.

With a root canal, the dentist will drill down the tooth to clean out the decay. Most will need a crown to protect the root from further problems. But remember, the tooth is practically dead, this method will preserve the tooth but not bring it back to life.

Dealing with a Dead Tooth

A dead tooth is a tooth that no longer has access to a blood supply from the root. This may happen through trauma or an infection. If you have a tooth that's a different color from the rest, the blood supply may become restricted.

A root canal may be able to save a dead tooth, but it depends how long the restriction of blood flow was. Teeth can actually die within a few hours. So if you notice your tooth is becoming discolored, book an emergency appointment immediately.

When It's Too Late to Save my Teeth

If you've missed the time frame and are unable to save your teeth, don't worry! You don't have to walk around toothless. You have two main options that can help to replace your smile:

Implants and Dentures.

Implants are a permanent option that can only a professional can remove. Because none of the surrounding teeth will need modifying, implants work well for either one missing tooth or several.

An implant is a titanium post that replaces a tooth root. The dentist will insert the implant into your jawbone. Once secure, they will insert replacement teeth.

Dentures are removable and economical. They work well for people who have several teeth missing.

Conventional dentures are a full set of teeth, but you have to wait for your mouth to heal before inserting them. Immediate dentures, as the names suggest, are dentures you can insert immediately after having your teeth removed. Overdentures sit on top of any remaining teeth.

(03/29/2021)
by Spakle Dental

More Information: https://www.sparkledental.com/save-my-teeth


Views: 1,007
Share
Share

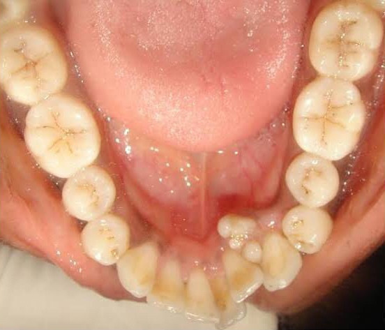
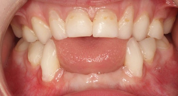
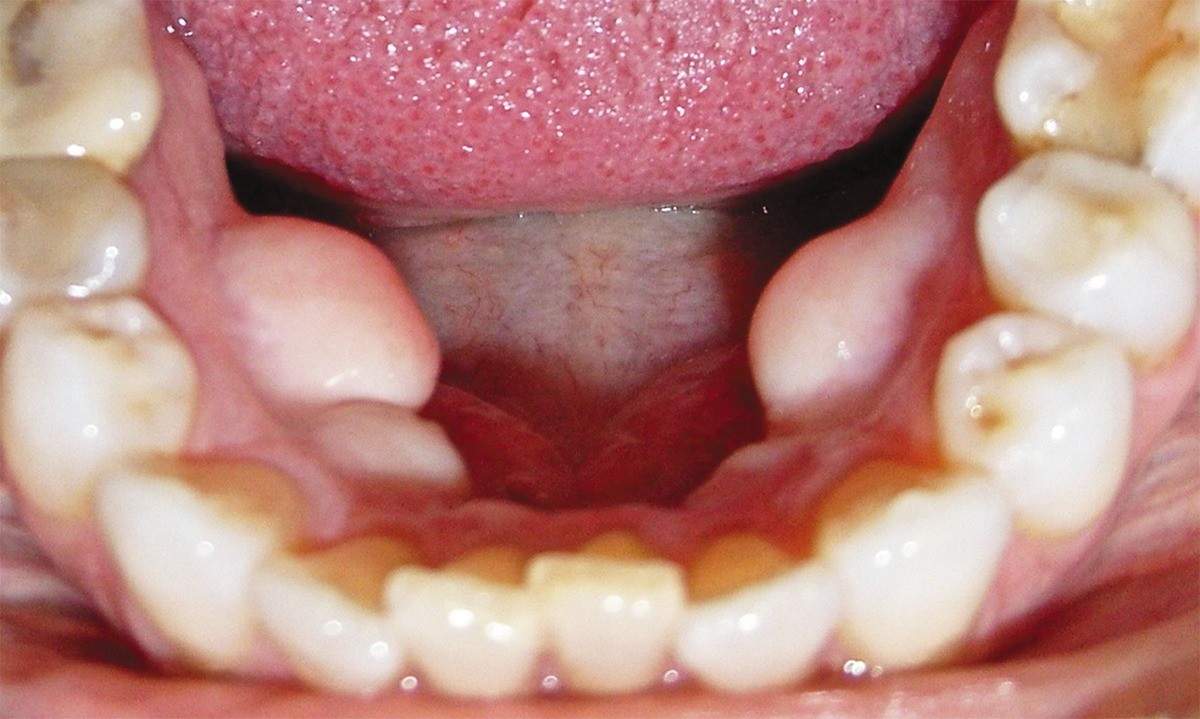
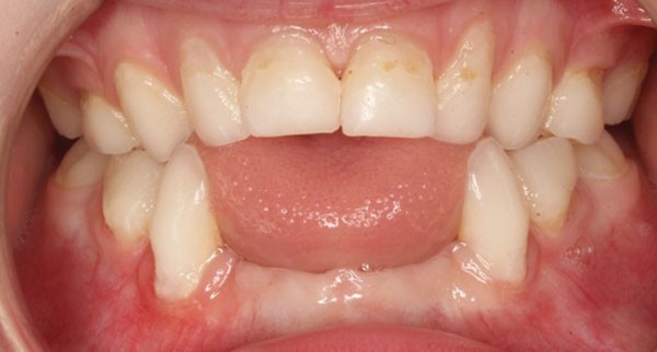
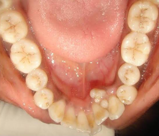
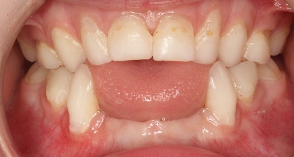
Adult with baby teeth: causes and treatments

What are adult baby teeth?

Adult baby teeth, also known as retained baby teeth, are fairly common.

In people who have adult baby teeth, the second molar is most likely to stay retained. This is because it often doesn’t have a permanent one growing behind it.

StudiesTrusted Source found that if second molars are retained until age 20, they’re much less likely to cause dental complications in the future. However, the opposite is true for retention of the incisors and first molars, as they may require more treatment.

The main risk of leaving adult baby teeth untreated is complications in tooth development, such as:

Infraocclusion. Baby teeth remain in a fixed position while the teeth next to them continue to erupt.

Occlusal trauma. Teeth don’t line up when you close your mouth.

Diastema. There are gaps or spaces between your teeth.

Why baby teeth can remain

The most common reason for retaining baby teeth as an adult is a lack of permanent teeth to replace them.

Some conditions involving tooth development can result in adult baby teeth, such as:

Hyperdontia. You have extra teeth, and there’s not enough room for permanent teeth to erupt.

Hypodontia. One to five permanent teeth are missing.

Oligodontia. Six or more permanent teeth are missing.

Anodontia. The majority of or all permanent teeth are missing.

But even if a permanent tooth exists, it may not grow in. A number of factors can result in this, including:

ankylosis, a rare disorder that fuses teeth to the bone, preventing any movement

genetics, such as a family history of incomplete tooth penetration

other conditions associated with tooth development, such as ectodermal dysplasia and endocrine disorders

mouth trauma or infection

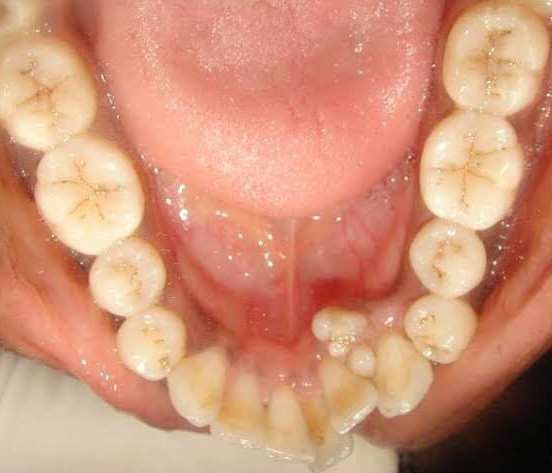
What can I do if I have baby teeth as an adult?

There are times when retaining the tooth may actually be the best option for your health. This is particularly the case when the tooth and root are still structurally, functionally, and aesthetically sound.

Minimal maintenance is needed for this approach, but it may result in too much or too little space for a replacement in the future.

Orthodontics and surgery

Modification may be needed to prevent infraocclusion, even if the root and crown are in good condition.

The simplest type of modification is to add a molded cap to the top of the baby tooth. This gives it the appearance of an adult tooth while maintaining the integrity of the tooth’s base.

Extraction

Some cases may require extraction, such as:

Space closure

If crowding is severe enough, the baby tooth may need to be removed in order to straighten the teeth. However, removal without a permanent replacement can lead to further complications in the future, especially with dental implants.

Replacement

If the baby tooth has significant weaknesses, such as root resorption or decay, replacement may be necessary.

Implants tend to be the preferred replacement method. However, implants aren’t recommended for use until after the late teenage years, as the skeletal structure is still forming.

Partial dentures are also a popular solution if there are large amounts of missing teeth or problems with mouth tissues.

(03/30/2021)
by Health Line

More Information: https://www.healthline.com/health/adult-with-baby-teeth


Views: 1,518
Share
Share

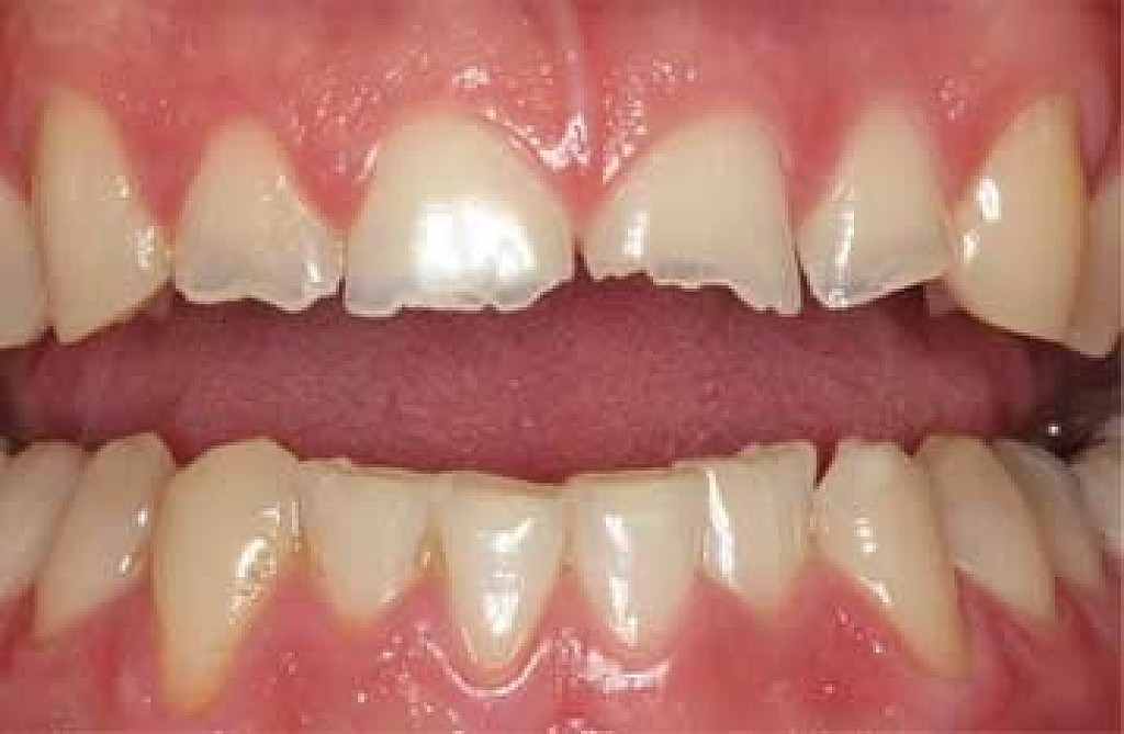
What Is A Vertical Root Fracture?

While we wish our teeth were as strong as metal, they’re susceptible to wear and tear—and sometimes that can come in the form of a crack. There are five types of cracked teeth, and the one we’ll discuss today is called a vertical root fracture. We’ll look into the fractured tooth root symptoms, causes, and treatment.

Imagine looking at a whole tooth and seeing a line at the very bottom moving upwards. That’s what a vertical root fracture looks like. Vertical root fractures are vertical cracks in your tooth that begin at the root of your tooth and run toward the top of the tooth. Because they normally don’t show signs or symptoms, they can go unnoticed. However, they can lead to an infection in the surrounding bone and gum, which can be noticeable and painful for the patient.

Why Do Vertical Root Fractures Happen?

These fractures are commonly found in weak teeth, teeth that have been treated with a root canal, and other restorative treatments like crown placements. Healthy teeth can also be subject to cracks by chewing on hard materials and foods, like ice. Specifically, when a root canal is being performed, a jolt of pain, sound of popping, or bleeding in the canal might also be a sign of a vertical root fracture that happened during the procedure.

Symptoms of a Vertical Root Fracture

Symptoms of fractures can vary, making this a difficult condition for dental professionals to diagnose. However, signs that you may have a vertical root fracture include:

Mild pain when biting

The appearance of a crack when examining with a special light or dye

A draining sinus tract appearing next to the tooth that looks like a boil or ulcer, which is often a sign that there is an infection beneath the tooth

A pocket between the gum and the tooth, near the fracture, where the gum essentially detaches from the tooth

A dental professional or specialist (usually an endodontist) may diagnose a fracture during a root canal procedure if they can see a crack. If the fracture occurs after the procedure, they might need to take X-rays, which may show the fractured root characteristically shaped like the letter J, or the specialist may also use a diagnostic method known as transillumination, where they shine a light through your tooth to detect any fracture lines.

How Are Vertical Root Fractures Treated?

There are a few different treatments for a tooth that has a vertical root fracture. In some cases, special types of cement are used to bond the teeth or stop the propagation of the fracture. In most cases, however, the most common treatment is tooth extraction. It's important to have this procedure as soon as a fracture is diagnosed, as chronic infection can eat away at the bone around the tooth, which may be needed in the future to support a dental implant.

To avoid dealing with the fallout of a vertical root fracture, here are some preventive steps you can take to protect your teeth:

As these fractures occur mostly in teeth treated with a root canal, avoid this treatment if possible. This means scheduling regular dental examinations so your dentist can detect problems early and help you prevent cavities from forming in the first place.

If you need root canal treatment, ask your endodontist about the root canal filling technique they will use and discuss how to reduce your fracture risk, such as avoiding post-placement.

If your symptoms match those outlined above and you're worried that you may have this type of fracture, talk with your dental professional. They will help you determine the cause of your symptoms and give you the proper treatment to keep your teeth healthy and functioning—so you can worry less and smile more.

(04/02/2021)
by Colgate

More Information: https://www.colgate.com/en-us/oral-health/threats-to-dental-health/what-is-a-vertical-root-fracture


Views: 1,243
Share
Share

5 medications that may be causing your teeth to decay

Here are common medications that cause dry mouth and tooth decay and how to protect your oral health.

Medications are supposed to make you healthier, but sometimes the side effects have negative impacts on your teeth and oral health.

Nearly 50% of Americans used one or more prescription drugs in the past 30 days.¹ Asthma medication, stimulants to treat attention deficit disorder and antidepressants were the most frequently used.

1.- Antacids

Though the acid from heartburn and acid reflux can lead to tooth erosion, treating these conditions with antacids can also be bad news for your oral health.⁴ 

While antacids reduce tooth-damaging acid in your mouth, antacids can weaken your teeth and contribute to tooth decay. This risk is applicable to chewable, dissolvable and liquid antacids. 

Antacids also may contain sugar or other tooth-damaging artificial sweeteners. Chewable antacids are especially dangerous to your teeth, as they can get stuck between your teeth and after prolonged exposure, can result in cavities.

2.- Pain medications that may cause tooth decay

Patients with chronic pain are especially prone to periodontal disease and losing teeth due to dry mouth brought on as a side effect of pain medications. Opioids, which are sometimes prescribed to treat pain, are also guilty of causing dry mouth and the consequent erosion of tooth enamel. 

3.- Antihistamines and decongestants

Antihistamines block histamine receptors to prevent allergic reactions. However, this same effect happens in other areas of the body, including the mouth and tongue. Antihistamines block the release of saliva, which results in dry mouth.

Decongestants are another common treatment for allergies and the common cold which can also create dry mouth.

Cough syrups create another level of damage to the teeth in that they’re highly acidic, which, like antihistamines, can lead to tooth decay and discoloration.

4.- Blood pressure medication

Beta-blockers, calcium channel blockers, diuretics, heart rhythmic medications and angiotensin-converting enzyme inhibitors are all commonly prescribed to treat high blood pressure. These medications all share the side effect of dry mouth, increasing your chances of developing tooth decay.

5.- Antidepressants

Antidepressants have been linked to negative effects on bone health, which can increase a person’s chances of developing rampant tooth decay, bad breath, gum disease, oral yeast infections and implant failure. On top of this, antidepressants also cause dry mouth.

How to minimize damage

If you take regular pain medication, you can help curb dry mouth and consequential tooth decay by following these regiments:

Increase your daily water intake by drinking at least eight to ten glasses of water a day.

Brush your teeth twice a day.

Go for regular dental check-ups and cleanings.

Use a moisturizing mouth spray. 

Eat hydrating snacks like celery sticks.

Chew sugarless gum or suck on sugarless candy.

Don’t use tobacco products.

Cut back on caffeinated and dehydrating drinks like coffee, tea, and alcohol.

Try a hydrating mouth rinse.

(04/01/2021)
by Guardian Direct

More Information: https://www.guardiandirect.com/dental-care/5-medications-causing-teeth-decay


Views: 829
Share
Share

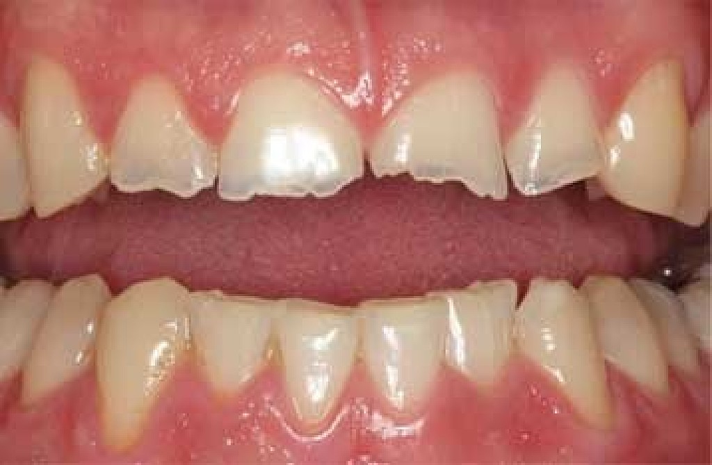
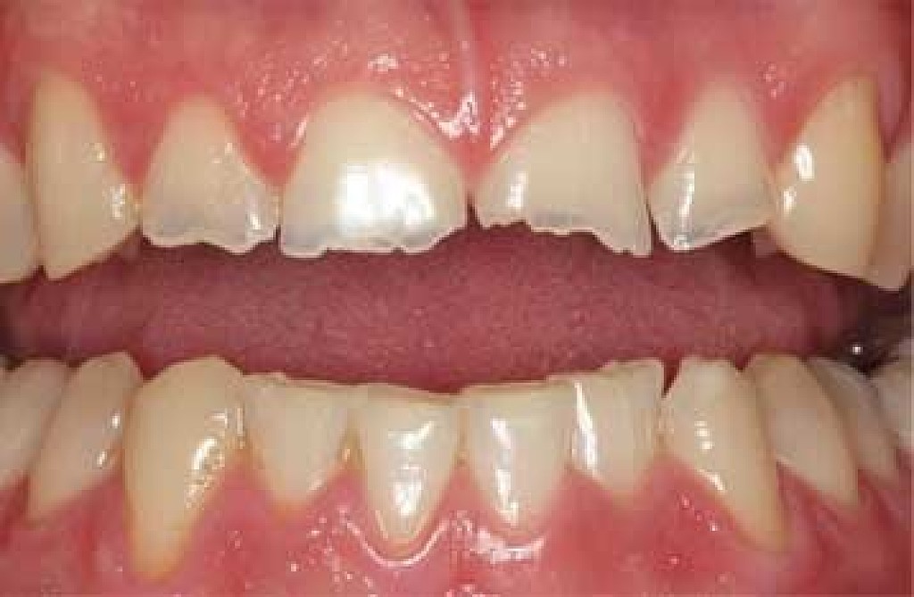
How to Manage Brittle Teeth

Did you know your tooth enamel is stronger than your bones? So, if your teeth chip or fracture easily, there's usually an underlying reason your teeth are so brittle.

It's essential to find the cause for your brittle teeth so that you can seek treatment. Or at least learn to care properly for them to fortify your smile.

What Causes Brittle Teeth?

Though tooth enamel is tough, several habits and conditions can cause the enamel structure to weaken, and the teeth become brittle.

So, if your teeth are prone to breaking, it might be due to one of the following causes.

Grinding and Clenching Teeth: These habits wear away dental enamel.

Poor Oral Care: Decay, cavities, lack of pulp – all can result in brittle teeth due to: 

Inadequate brushing, which eventually destroys the tooth pulp, Overbrushing, which can erode enamel, Lack of or inadequate fluoride, which defends your teeth against all sorts of bad stuff.

Nutritional Deficiencies: A range of vitamins and minerals are essential for healthy dental enamel. When your body's deficient in these essential nutrients, your teeth can weaken.

For example, research published in General Dentistry found that vitamin A deficiency causes tooth brittleness. And a lack of vitamin D results in poor absorption of minerals like calcium and phosphorus, vital for enamel strength.

Causes of nutritional deficiencies are eating disorders and poor diets in general. Also, some medications prevent your body from absorbing nutrients.

Acids: Eating disorders can also sometimes result in acid damage to enamel if a person vomits frequently or sucks on lemon wedges.

Other conditions and habits that produce enamel-weakening acids include:

Gastroesophageal acid reflux disease (GERD)

Severe morning sickness

Too much sugary food and beverages (especially a soda pop habit)

Dentinogenesis Imperfecta: In this inherited condition, the dentin doesn't form correctly, resulting in the abnormal formation of the middle layer of the teeth. This results in:

The teeth becoming discolored

The teeth possibly becoming weaker, resulting in fracturing.

Dehydration and Dry Mouth: If your body's not producing enough beneficial saliva to clean your mouth and neutralize acids, issues leading to brittle teeth can result.

Aging Teeth: When people age, the pulp and nerves supplying the teeth shrink, an article published in the University of Missouri Extension explains. This process reduces the amount of fluid moving into the tooth enamel. Dry dental enamel is weaker and more prone to breakage.

Older teeth have also received more exposure to chewing forces and acids that gradually cause thinner, more brittle enamel.

We want your teeth to be as strong and healthy as possible, so check out the available treatments for brittle teeth. And learn the numerous ways you can manage your life to prevent or reduce the chances of having brittle teeth.

Brittle Teeth Treatments

Sorry to report that tooth enamel doesn't regrow. But dentists can treat brittle teeth to improve the enamel's strength. Ask your dental professional about these treatments:

Fluoride supplements and fluoride gels to remineralize teeth

Dental sealants to the chewing surfaces to protect teeth from fractures and decay

Veneers, thin shells that cover the teeth, to help prevent tooth breakage

Crowns, thicker and strong coverings for teeth, to help prevent cavities and breaks, especially after a root canal procedure

Managing or Preventing Brittle Teeth

Fragile teeth require special care, but there are many actions you can take to achieve a healthy and attractive smile:

Ask about veneers or crowns to cover up the damage if your teeth are already chipped or fractured.

Treat causes affecting your sleep and eating behaviors with relaxation techniques, behavior therapy, or psychotherapy. Ask your dentist and doctor to advise you on the help you deserve.

Seek medical attention for conditions that produce acid reflux or excessive vomiting.

Reduce the wear and tear on your teeth with a mouthguard to wear at night.

Talk with your doctor about your medications. Perhaps you can find substitutes that won't cause dry mouth and will let you absorb essential nutrients.

Sip water only throughout the day.

Consume a healthy diet that includes calcium-rich dairy products, plus fruit and vegetables. And avoid eating/drinking acidic or sugary foods/beverages that might damage tooth enamel.

Break your sugar habit or addiction. Need some help? The Cleveland Clinic offers a 10-day plan.

Brush twice daily with fluoride toothpaste on a soft-bristled toothbrush.

Brittle teeth don't have to hold you back. With a proper diagnosis of the cause, treatment and management techniques can improve the strength and appearance of your teeth – and your smile.

(03/26/2021)
by Colgate

More Information: https://www.colgate.com/en-us/oral-health/threats-to-dental-health/how-to-manage-brittle-teeth


Views: 1,240
Share
Share

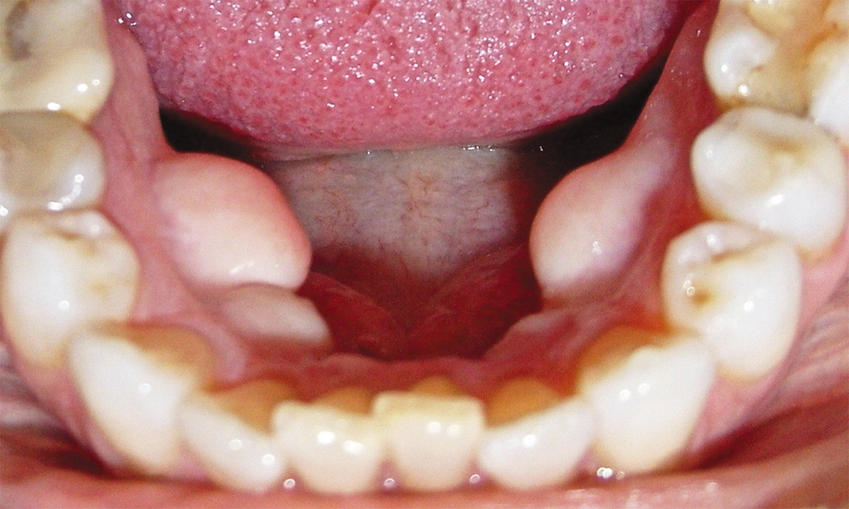
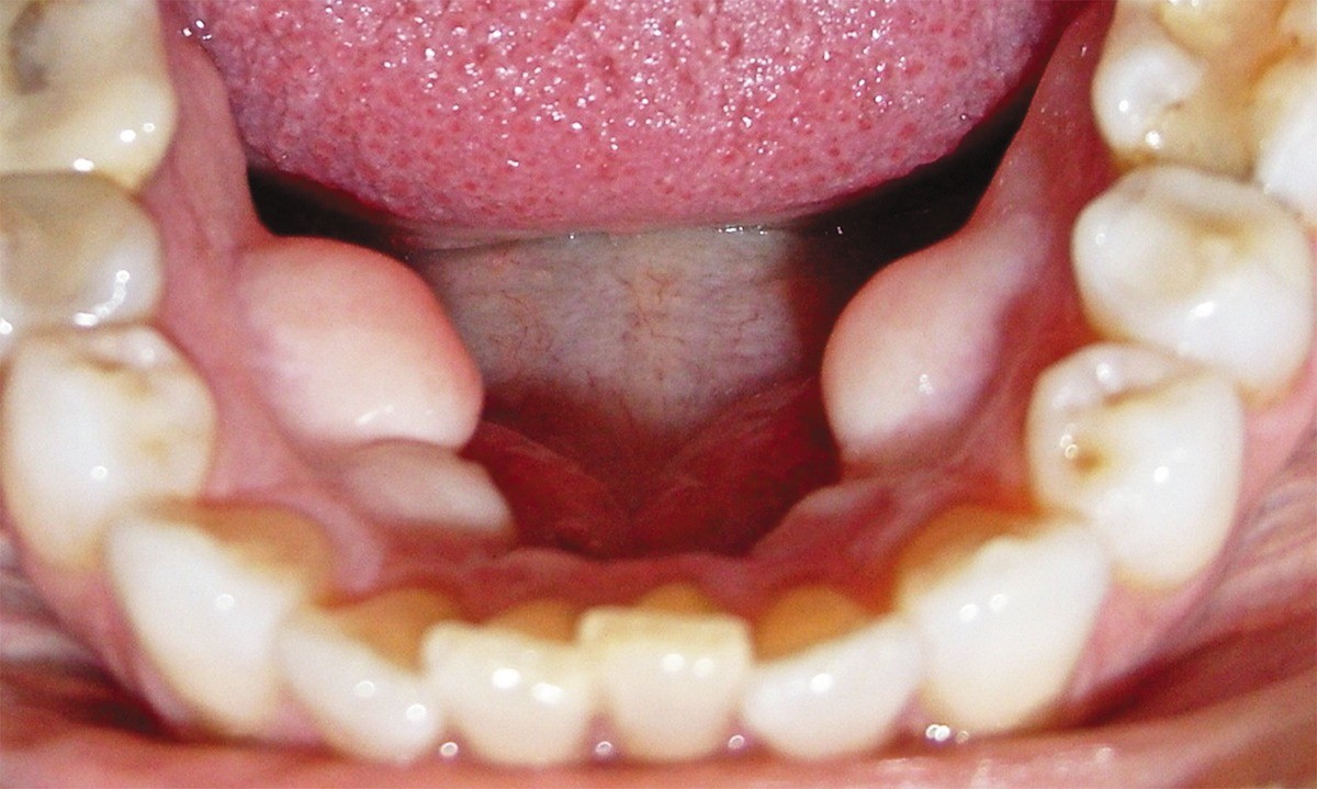
Torus Mandibularis: What You Need To Know

Torus mandibularis is a bony growth that develops on the lower jaw, beneath and on the side of the tongue. Tori affects about 27 out of every 1,000 adults, reports the National Institutes of Health (NIH), though it's not as well-known as other oral health conditions. Here are four things you need to know about this uncommon condition.

Torus Mandibularis Causes

The development of this condition is thought to be mostly driven by genetics, explains the NIH. This genetic influence can be clearly seen in studies of twins. In one study, a whopping 93.6 percent of identical twins either both had tori or both lacked them, reports NIH. Among fraternal twins, this concordance was observed in 79.4 percent of pairs.

Symptoms of Torus Mandibularis

This condition presents as a bony growth beneath and on the side of the tongue. You may have one growth or multiple growths, and they can develop on one side of your mouth or on both sides. While it's usually asymptomatic, this condition can sometimes cause problems. If you wear dentures, the growth can interfere with the fit of your lower denture. Your denture may be uncomfortable and may not stay in place. The soft tissues that cover the growth can also become ulcerated in some cases.

Torus Mandibularis Treatment

Even if your growth is asymptomatic, it needs to be evaluated by your dentist. If your dentist confirms that your growth is torus mandibularis, he may recommend not treating it. Dentistry Today explains that these benign growths should usually remain undisturbed. However, if your growth is painful or is interfering with the fit of your dentures, surgical removal may be performed. An oral surgeon can remove the growth with traditional surgical tools or with newer methods, like lasers.

Coping with Torus Mandibularis

If your dentist advises against treatment, the bony growth will remain inside your mouth. If the growth is small, this may not bother you, but large bony growths can be distracting. Try to avoid touching the growth with your tongue. Rinsing your mouth with an antiseptic mouthwash like Colgate Total® Mouthwash for Gum Health can also help keep your tori clean.

Any growths inside your mouth should always be examined by your dentist, just to be safe, though they may end up being benign conditions like torus mandibularis.

(03/27/2021)
by Colgate

More Information: https://www.colgate.com/en-us/oral-health/threats-to-dental-health/torus-mandibularis-what-you-need-to-know


Views: 955
Share
Share

What Is An Odontoma And How Is It Treated?

When you hear the word "tumor," there's a good chance you think of cancer. Fortunately, with an odontoma, that's not the case. While an odontoma is a tumor, it's a benign one and not uncommon. That alone is great news! However, odontomas usually require surgical removal. They're made up of dental tissue that resembles abnormal teeth or calcified mass that invade the jaw around your teeth and could affect how your teeth develop. Fortunately, treatment is pretty straightforward and the road to a tumor-free life is one frequently traveled.

Types of Odontomas

There are 2 main types of odontomas:

Compound:

Consisting of many, tiny tooth-like bits

Usually found in the lower jaw

Most often occurs during your teenage years

It affects men and women equally

Complex:

Made up of an assortment of dental tissue (enamel, dentin, etc.)

Usually found within the upper jaw

Most often occurs during your 20s

It affects men and women equally

Diagnosis and Symptoms

Since odontomas grow internally around your teeth, an X-ray from your dentist is necessary to identify them, notes the AAPD. The shape will indicate to your dentist whether it's compound or complex. While they are asymptomatic, the West Indian Medical Journal Review notes your odontoma could cause: Pain, Discomfort, Swelling, Tooth displacement.

Nearly 80% of those affected by odontomas, though, have teeth that haven't erupted yet. Plus, since they're noncancerous, they rarely grow back after removal.

Removal

Removal surgery has been the tried-and-true treatment plan for odontomas — especially if they are causing any pain or affecting your teeth to erupt unnaturally. Some other things to know about odontoma removal surgery:

An oral or maxillofacial surgeon should consult your dentist on the surgery

The unerupted tooth associated with odontoma could be extracted if it's not developing correctly

If you have a tooth that needs extraction, discuss tooth replacement options and alignment issues with your dentist and/or orthodontist

Your dentist will likely recommend a combination of the following after surgery to help you heal: Proper oral hygiene, Cold and soft meals, No physical exercise for the first 48 hours, Pain relief medication, Antibiotic medication (if an infection is a concern).

Going through surgery is most likely your path should you be stricken with odontomas. But, it sure beats radiation or chemotherapy you'd have to face with cancer. Plus, the surgery to remove your odontomas is very common with few complications. Just remember to see your dentist regularly so they can identify the odontomas as early as possible on your X-rays.

(03/26/2021)
by Colgate

More Information: https://www.colgate.com/en-us/oral-health/threats-to-dental-health/what-is-an-odontoma-and-how-is-it-treated


Views: 998
Share